Demandez une consultation gratuite avec un expert
1 novembre 2024
6 minutes de lecture

Implants Dentaires pour Mâchoire Complète

Un homme avec des implants dentaires
Validation médicale
Dr. ELÇİN KESKİN ÖZYER
Dentiste spécialisée en Esthétique dentaire chez Esteworld

L’édentement complet représente l’une des situations les plus invalidantes en santé bucco-dentaire. Au-delà de la simple perte des dents, elle affecte profondément l’ensemble des fonctions oro-faciales, bouleversant non seulement la mastication et l’élocution, mais également l’harmonie esthétique du visage. Les répercussions s’étendent bien au-delà de la sphère buccale, impactant significativement la qualité de vie, depuis la nutrition jusqu’aux interactions sociales. Face à ces défis complexes, l’implantologie moderne a développé des solutions révolutionnaires, dont les concepts All-on-4All-on-6 et All-on-8 représentent aujourd’hui l’excellence en matière de réhabilitation dentaire complète.

L’Évolution des Solutions Implantaires : Une Révolution Thérapeutique

Le Concept All-on-4 : L’Innovation au Service de l’Accessibilité

La technique All-on-4 constitue une véritable révolution dans l’histoire de l’implantologie dentaire moderne. Son principe, d’une élégante simplicité, repose sur l’utilisation stratégique de quatre implants positionnés selon une architecture précise. Les deux implants antérieurs, ancrés verticalement dans l’os, établissent une base stable, tandis que les deux implants postérieurs, inclinés selon un angle pouvant atteindre 45 degrés, optimisent l’ancrage osseux tout en contournant habilement les structures anatomiques sensibles (Malo et al., 2011).

Cette approche ingénieuse présente des avantages remarquables. En maximisant l’utilisation du volume osseux disponible, elle permet fréquemment d’éviter le recours aux greffes osseuses, simplifiant considérablement le protocole chirurgical et réduisant significativement les coûts associés. La possibilité d’une mise en charge immédiate transforme radicalement l’expérience du patient, lui permettant de retrouver un sourire fonctionnel dès les premiers jours suivant l’intervention (Galindo et al., 2012).

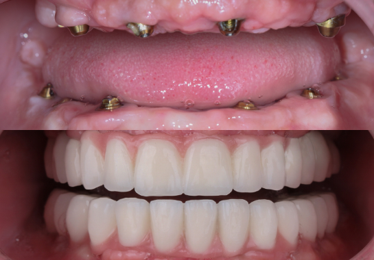
Patient avec des piliers prothétiques en haut et des implants complets en bas

All-on-6 : L’Équilibre Parfait entre Performance et Longévité

Le protocole All-on-6 enrichit considérablement l’arsenal thérapeutique de la réhabilitation implantaire complète. En déployant six points d’ancrage méticuleusement répartis, cette configuration élaborée assure une distribution optimale des forces masticatoires, conférant à la restauration une stabilité exceptionnelle. L’intégration de deux implants supplémentaires par rapport au All-on-4 ne représente pas une simple addition numérique, mais une véritable optimisation biomécanique.

La répartition harmonieuse des contraintes sur ces six points d’ancrage augmente significativement la pérennité de la restauration. Le confort masticatoire atteint des niveaux remarquables, tandis que la fréquence des interventions de maintenance peut être considérablement espacée grâce à une usure plus uniforme des composants prothétiques. Cette solution incarne souvent l’équilibre optimal entre investissement initial et bénéfices à long terme.

Visualisation 3D d'implants dentaires all-on-4

All-on-8 : L’Excellence Absolue en Réhabilitation Implantaire

Le concept All-on-8 représente l’apogée de la réhabilitation implantaire contemporaine. En établissant une fondation de huit implants pour supporter la nouvelle dentition, cette approche garantit une stabilité inégalée et une durabilité exceptionnelle. La distribution parfaitement équilibrée des forces masticatoires sur huit points d’ancrage minimise les contraintes mécaniques sur chaque implant, optimisant ainsi la préservation du capital osseux à long terme.

De la Planification à la Réalisation

La réussite d’une réhabilitation implantaire complète repose sur une synergie parfaite entre planification minutieuse et expertise chirurgicale. Cette approche globale débute par une phase diagnostique approfondie, où l’imagerie tridimensionnelle par scanner CBCT révèle avec une précision remarquable l’architecture osseuse du patient. Cette cartographie numérique détaillée permet aux chirurgiens d’appréhender les moindres subtilités anatomiques et d’orchestrer un positionnement implantaire optimal.

Les technologies numériques de pointe transforment cette planification virtuelle en guides chirurgicaux personnalisés, véritables chefs-d’œuvre de précision. Cette approche guidée par l’image ne garantit pas uniquement la sécurité de l’intervention, elle assure également une prévisibilité exceptionnelle des résultats tant esthétiques que fonctionnels.

Visualisation 3D d'implants dentaires all-on-6

La Phase Chirurgicale : Un Moment Décisif

L’intervention chirurgicale représente l’aboutissement d’une préparation méticuleuse où chaque détail a été anticipé. Réalisée sous anesthésie locale avec sédation consciente, elle marie harmonieusement expertise chirurgicale et technologie de dernière génération. Le positionnement des implants, guidé par les données de la planification préopératoire, respecte scrupuleusement les impératifs biologiques et biomécaniques essentiels au succès à long terme.

Deux patients avant et après la pose d'implant dentaire All-on-6

La mise en place d’une prothèse provisoire immédiate, lorsque les conditions cliniques le permettent, constitue une étape importante dans la métamorphose du sourire. Cette restauration transitoire ne se contente pas de rétablir rapidement la fonction masticatoire ; elle guide également la cicatrisation des tissus mous selon une architecture idéale pour le résultat final. Des études ont montré que cette approche de mise en charge immédiate peut offrir des taux de succès élevés, avec une survie implantaire de 98% après 5 ans pour les prothèses maxillaires complètes (Malo et al., 2011).

L’Innovation Thérapeutique selon Esteworld

Dans ce contexte d’excellence thérapeutique, l’approche développée par Esteworld redéfinit les standards de la réhabilitation implantaire complète. En fusionnant expertise française et avantages économiques des soins en Turquie, cette solution novatrice démocratise l’accès à des traitements d’exception.

L’utilisation exclusive d’implants dentaires premium Neodent® et Straumann®, associée à des protocoles chirurgicaux rigoureux, garantit une prévisibilité optimale des résultats. Le suivi de proximité assuré dans les locaux cannois d’Esteworld offre aux patients une continuité des soins irréprochable, alliant excellence médicale et sérénité thérapeutique.

La fabrication d'implants dentaires

Une Analyse Comparative Approfondie

La réhabilitation implantaire complète représente un investissement majeur dans sa santé bucco-dentaire. Une analyse détaillée des différentes options thérapeutiques révèle des spécificités importantes :

Solution Investissement France Tarif Esteworld Caractéristiques Distinctives
All-on-4 15 000€ 4 900€ Solution optimisée, suivi régulier recommandé
All-on-6 20 000€ 5 900€ Équilibre remarquable entre stabilité et investissement
All-on-8 25 000€ 6 900€ Excellence absolue en termes de stabilité et longévité

La Période Postopératoire : Un Accompagnement Décisif

La réussite d’une réhabilitation implantaire complète ne se limite pas à l’excellence chirurgicale ; elle dépend également de la qualité du suivi postopératoire. Cette phase débute dès les premières heures suivant l’intervention et s’étend sur plusieurs mois, rythmée par des étapes clés dans la cicatrisation et l’adaptation fonctionnelle.

Les Premières Semaines : Une Phase d’Adaptation

Durant les premières semaines, les patients découvrent progressivement leur nouvelle dentition. Cette période d’adaptation nécessite un accompagnement attentif et personnalisé. Les sensations initiales, parfois surprenantes, évoluent rapidement vers un confort croissant. La phonation se réajuste naturellement, tandis que la capacité masticatoire s’améliore graduellement.

L’équipe médicale d’Esteworld assure un suivi rapproché, alternant consultations physiques à Cannes et téléconsultations selon les besoins. Cette disponibilité constante permet d’ajuster finement la prothèse provisoire et de répondre rapidement aux éventuelles interrogations des patients.

La clinique d'Esteworld à Istanbul

L’Ostéointégration : Une Étape Fondamentale

Le processus d’ostéointégration, durant lequel les implants fusionnent intimement avec l’os environnant, représente une phase déterminante du traitement. Cette période, qui s’étend généralement sur trois à six mois, requiert une surveillance attentive de plusieurs paramètres :

  • La stabilité implantaire progressive
  • L’évolution de la cicatrisation gingivale
  • L’adaptation fonctionnelle de la prothèse provisoire
  • Le maintien d’une hygiène bucco-dentaire optimale

Des études ont montré que l’utilisation d’implants inclinés, comme dans le concept All-on-4, n’a pas d’impact négatif sur l’ostéointégration par rapport aux implants droits traditionnels (Krekmanov et al., 2000).

La Finalisation Prothétique : L’Art du Sur-Mesure

Une fois l’ostéointégration confirmée, la réalisation de la prothèse définitive peut débuter. Cette étape mobilise les technologies les plus avancées en conception et fabrication assistées par ordinateur (CFAO). Les matériaux haute performance, tels que la zircone multicouche ou le titane grade médical, sont sélectionnés pour leur biocompatibilité exceptionnelle et leurs qualités esthétiques remarquables.

Un Investissement Durable dans la Santé Bucco-Dentaire

La réhabilitation implantaire complète représente un investissement significatif dans sa qualité de vie. L’approche hybride développée par Esteworld permet d’accéder à cette excellence thérapeutique à des tarifs particulièrement attractifs, sans compromis sur la qualité des soins ou des matériaux utilisés.

Une femme heureuse après la pose des ses implants dentaires complets

Maintenance et Suivi à Long Terme

La pérennité du résultat nécessite un programme de maintenance adapté. Les contrôles réguliers permettent de :

  • Vérifier la stabilité des composants prothétiques
  • Évaluer la santé des tissus péri-implantaires
  • Effectuer un nettoyage professionnel personnalisé
  • Anticiper d’éventuels besoins d’ajustements

Une attention particulière doit être portée à l’occlusion dans les prothèses implanto-portées. Les schémas occlusaux doivent être conçus pour minimiser les forces latérales et répartir uniformément les charges sur l’ensemble des implants (Color atlas of dental medicine – Implantology).

Conclusion : Une Renaissance Dentaire Accessible

La réhabilitation implantaire complète représente aujourd’hui bien plus qu’une simple restauration dentaire : elle offre une véritable renaissance fonctionnelle et esthétique. L’approche hybride développée par Esteworld, combinant expertise française et avantages économiques des soins en Turquie, démocratise l’accès à ces traitements d’excellence.

Cette solution innovante permet non seulement de restaurer la fonction masticatoire et l’esthétique du sourire, mais également de retrouver une confiance en soi souvent altérée par l’édentement. La présence d’une équipe médicale expérimentée, tant à Cannes qu’en Turquie, garantit un accompagnement personnalisé tout au long du parcours de soins, de la première consultation jusqu’au suivi à long terme.

Pour les patients envisageant une réhabilitation implantaire complète, Esteworld propose une consultation initiale approfondie dans ses locaux cannois. Cette première étape permet d’établir un diagnostic précis et d’élaborer un plan de traitement personnalisé, ouvrant la voie vers une transformation dentaire durable et accessible.

Sources :

Malo, P., de Araújo Nobre, M., Lopes, A., Moss, S. M., & Molina, G. J. (2011). A longitudinal study of the survival of All-on-4 implants in the mandible with up to 10 years of follow-up. Journal of the American Dental Association, 142(3), 310-320.

Bellini, C. M., Romeo, D., Galbusera, F., Taschieri, S., Raimondi, M. T., Zampelis, A., & Francetti, L. (2009). Comparison of tilted versus nontilted implant-supported prosthetic designs for the restoration of the edentuous mandible: a biomechanical study. International Journal of Oral & Maxillofacial Implants, 24(3), 511-517.

Krekmanov, L., Kahn, M., Rangert, B., & Lindström, H. (2000). Tilting of posterior mandibular and maxillary implants for improved prosthesis support. International Journal of Oral & Maxillofacial Implants, 15(3), 405-414.

Grandi, T., Guazzi, P., Samarani, R., & Grandi, G. (2012). Immediate loading of four (all-on-4) post-extractive implants supporting mandibular cross-arch fixed prostheses: 18-month follow-up from a multicentre prospective cohort study. European Journal of Oral Implantology, 5(3), 277-285.

Galindo, D. F., & Butura, C. C. (2012). Immediately loaded mandibular fixed implant prostheses using the all-on-four protocol: a report of 183 consecutively treated patients with 1 year of function in definitive prostheses. International Journal of Oral & Maxillofacial Implants, 27(3), 628-633.

Kim, K. S., Kim, Y. L., Bae, J. M., & Cho, H. W. (2011). Biomechanical comparison of axial and tilted implants for mandibular full-arch fixed prostheses. International Journal of Oral & Maxillofacial Implants, 26(5), 976-984.

Silva, G. C., Mendonça, J. A., Lopes, L. R., & Landre, J. (2010). Stress patterns on implants in prostheses supported by four or six implants: a three-dimensional finite element analysis. International Journal of Oral & Maxillofacial Implants, 25(2), 239-246.

Color atlas of dental medicine – Implantology. (n.d.). Schemes of occlusion, 299-304.