Demandez une consultation gratuite avec un expert

All-on-6 à Cannes

Économisez jusqu’à 70% sur vos implants dentaires All-on-6

Expertise de chirurgiens turcs mondialement reconnus

Approche hybride unique : consultations à Cannes, chirurgie en Turquie

4,8
+4 500 avis
+30 ans d'expérience
Technologies de pointe
patients satisfaits

Nos Prix et Packages

Des tarifs imbattables pour une qualité premium

Offre et tarif : Implants dentaires

N’hésitez pas à faire défiler les différents prix de droite à gauche !

L’approche Hybride à Cannes et en Turquie d’Esteworld

Consultation initiale à Cannes

Rencontrez nos experts All-on-6 dans nos bureaux cannois pour un examen complet et personnalisé. Bénéficiez de notre expertise internationale tout en restant proche de chez vous.

Planification du traitement

Notre équipe élabore votre plan de traitement sur-mesure, combinant l’expertise turque et le suivi local. Nous organisons votre séjour en Turquie pour votre All-on-6 en fonction de vos disponibilités.

Intervention en Turquie

Profitez d’une chirurgie de pointe réalisée par nos meilleurs spécialistes dans nos cliniques ultramodernes d’Istanbul. Bénéficiez de soins haut de gamme à prix avantageux.

Suivi post-opératoire à Cannes

Retrouvez nos équipes à Cannes pour un suivi personnalisé. Nous assurons votre confort et la réussite de votre traitement, en proximité avec votre lieu de résidence.

Obtenez votre devis personnalisé All-on-6

Recevez une estimation précise adaptée à votre cas en quelques clics

Testimony image in popup

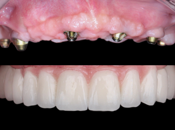
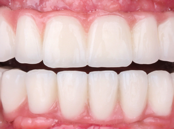
Avant-Après

Découvrez les résultats spectaculaires de nos patients All-on-6

RÉSERVEZ VOTRE CONSULTATION GRATUITE

Rencontrez nos experts All-on-6 à Cannes ou en ligne. Profitez d'un examen complet et d'un plan de traitement sur-mesure, sans engagement.

Esteworld Cannes :
Toujours plus proche de vous

Esteworld, référence du tourisme médical, vous accueille à Cannes, renforçant son engagement auprès de sa clientèle française. Notre présence sur la Côte d’Azur illustre notre volonté d’allier expertise internationale et accompagnement de proximité, pour une expérience médicale d’exception. Ce service personnalisé à Cannes s’inscrit dans notre mission continue d’offrir des soins de qualité supérieure, accessibles et adaptés à vos besoins.

Consultations gratuites

Bénéficiez de consultations approfondies et gratuites dans notre centre cannois. Notre équipe française d'experts vous guide dans vos choix, en toute confidentialité et sans engagement.

Préparation et Sérénité

Votre parcours de soins débute à Cannes. Notre équipe locale coordonne chaque étape de votre projet, assurant une transition en douceur vers votre séjour médical en Turquie.

Suivi post-opératoire à Cannes

Retrouvez la sérénité de la Côte d'Azur pour votre convalescence. Notre équipe médicale cannoise assure un suivi rigoureux et personnalisé, garantissant une récupération optimale.

Pourquoi faire confiance
à EsteWorld ?

  • Satisfaction patient
    99% de nos patients recommandent Esteworld
  • Qualité des Soins
    Des installations ultramodernes pour des soins dentaires de premier ordre.
  • Excellence des Dentistes
    Rencontrez les experts en esthétique dentaire.
  • Hospitalité Premium
    Une expérience luxueuse dès votre arrivée

Nos patients
parlent de nous

  • BLUE QUEEN
    Refaire ses dents à la perfection chez Esteworld
  • SOINS DENTAIRES ESTEWORLD
    Chez Esteworld nous avons des soins dentaires d'exception

Obtenez votre devis personnalisé All-on-6

Recevez une estimation précise adaptée à votre cas en quelques clics

FAQ

Qu’est-ce que la technique All-on-6 et quels sont ses avantages ?

La technique All-on-6 est une solution de réhabilitation dentaire complète qui consiste à remplacer une arcade dentaire entière à l’aide de seulement 6 implants. Ces implants servent de support à une prothèse fixe, offrant ainsi une alternative stable et durable aux prothèses amovibles traditionnelles. Les principaux avantages sont :

  • Une meilleure stabilité et répartition des forces masticatoires
  • Un confort accru par rapport aux prothèses amovibles
  • Une préservation optimale de l’os de la mâchoire
  • Un résultat esthétique naturel
  • Une amélioration significative de la qualité de vie

Combien coûte un traitement All-on-6 à Cannes et pourquoi choisir Esteworld ?

Le coût d’un traitement All-on-6 à Cannes peut varier considérablement selon les praticiens, mais il est généralement élevé, souvent entre 15 000€ et 25 000€ par arcade. Esteworld propose une alternative avantageuse grâce à son approche hybride :

  • Des consultations et suivis à Cannes pour votre confort
  • Une intervention en Turquie réalisée par des experts reconnus
  • Des économies pouvant atteindre 70% par rapport aux prix français
  • Une qualité de soins et de matériaux identique aux meilleurs standards européens
  • Un accompagnement personnalisé tout au long du processus

Quelle est la durée du traitement All-on-6 et combien de voyages sont nécessaires ?

Le traitement All-on-6 se déroule généralement en plusieurs étapes :

  • Consultation initiale et planification à Cannes (1 jour)
  • Intervention chirurgicale en Turquie (5-7 jours)
  • Période de cicatrisation (3-6 mois)
  • Pose de la prothèse définitive en Turquie (7-10 jours)

Avec Esteworld, vous ne ferez que 2 voyages en Turquie, le reste du suivi étant assuré à Cannes. La durée totale du traitement est d’environ 4 à 7 mois, selon votre cas particulier et la vitesse de cicatrisation.

Le traitement All-on-6 est-il douloureux et quelles sont les précautions post-opératoires ?

Le traitement All-on-6 est réalisé sous anesthésie locale ou sédation consciente, ce qui limite considérablement la douleur pendant l’intervention. Après l’opération, il est normal de ressentir un inconfort et un gonflement temporaires, généralement bien contrôlés par des antalgiques.

Les précautions post-opératoires incluent :

  • Suivre un régime alimentaire adapté (aliments mous) pendant la phase de cicatrisation
  • Maintenir une excellente hygiène bucco-dentaire
  • Éviter de fumer
  • Respecter les rendez-vous de suivi

Esteworld vous fournira des instructions détaillées et un suivi personnalisé à Cannes pour assurer une récupération optimale.

Avantages

  • SOLUTION COMPLÈTE ET DURABLE

    Remplacement d’une arcade entière avec seulement 6 implants dentaires stratégiquement placés. Technique offrant une excellente stabilité et longévité, idéale pour les patients édentés souhaitant retrouver une dentition fixe et fonctionnelle.

  • RÉSULTAT ESTHÉTIQUE OPTIMAL

    Prothèse fixe sur mesure reproduisant fidèlement l’apparence de dents naturelles. Matériaux haut de gamme et savoir-faire des prothésistes pour un sourire harmonieux et éclatant.

  • CONFORT ET QUALITÉ DE VIE RETROUVÉS

    Mastication, élocution et confiance en soi considérablement améliorées. Solution fixe évitant les inconvénients des prothèses amovibles pour un confort quotidien optimal.

  • PRÉSERVATION OSSEUSE

    Stimulation de l’os par les implants permettant de limiter la résorption osseuse. Maintien du volume osseux à long terme pour préserver l’esthétique du visage.

Processus

  • CONSULTATION ET PLANIFICATION

    Examen complet, imagerie 3D et élaboration d’un plan de traitement personnalisé. Choix du protocole chirurgical et prothétique le plus adapté à chaque patient.

  • INTERVENTION CHIRURGICALE

    Pose des 6 implants sous anesthésie locale ou sédation consciente. Technique mini-invasive pour un rétablissement rapide.

  • PHASE DE CICATRISATION

    Ostéointégration des implants pendant 3 à 6 mois. Prothèse provisoire pour assurer confort et esthétique durant cette période.

  • PROTHÈSE DÉFINITIVE

    Conception et pose de la prothèse fixe définitive sur mesure. Ajustements pour un résultat fonctionnel et esthétique optimal.

Comparaison

  • ALL-ON-6 VS ALL-ON-4

    6 implants offrant une meilleure répartition des forces masticatoires que 4. Stabilité et longévité accrues, particulièrement recommandé pour l’arcade supérieure.

  • ALL-ON-6 VS BRIDGES TRADITIONNELS

    Préservation des dents saines adjacentes contrairement aux bridges. Solution idéale en cas d’édentement complet ou de nombreuses dents manquantes/abîmées.

  • ALL-ON-6 VS PROTHÈSES AMOVIBLES

    Confort et stabilité nettement supérieurs aux prothèses amovibles. Mastication plus efficace et meilleure qualité de vie au quotidien.

On discute de votre projet

All-on-6 à Cannes : Une solution révolutionnaire pour retrouver votre sourire

Qu’est-ce que l’All-on-6 ?

L’All-on-6 est une technique de pointe en implantologie dentaire qui permet de remplacer une arcade dentaire complète à l’aide de seulement six implants stratégiquement placés. Cette approche innovante offre une alternative stable et durable aux prothèses amovibles traditionnelles. Contrairement à d’autres solutions comme l’All-on-4 qui utilise quatre implants, ou les implants unitaires qui nécessitent un implant par dent, l’All-on-6 offre un équilibre optimal entre stabilité et préservation osseuse.

Développée pour répondre aux besoins des patients édentés ou présentant des dents fortement abîmées, cette technique a considérablement évolué depuis son introduction. Aujourd’hui, elle bénéficie des dernières avancées en matière d’imagerie 3D et de planification chirurgicale assistée par ordinateur, permettant des interventions plus précises et moins invasives.

Avantages de l’All-on-6

L’All-on-6 présente de nombreux avantages qui en font une option de choix pour de nombreux patients. La stabilité supérieure offerte par les six points d’ancrage assure un confort incomparable, permettant une mastication efficace et une élocution naturelle. Cette répartition optimale des forces contribue également à la préservation de l’os de la mâchoire, limitant la résorption osseuse à long terme.

Le résultat esthétique obtenu avec l’All-on-6 est remarquable. La prothèse fixe, conçue sur mesure, reproduit fidèlement l’apparence de dents naturelles, redonnant aux patients un sourire harmonieux et éclatant. Cette amélioration esthétique a un impact significatif sur la confiance en soi et la qualité de vie des patients.

La durabilité du traitement All-on-6 est un autre atout majeur. Avec une maintenance appropriée, cette solution peut durer de nombreuses années, offrant un excellent rapport coût-efficacité à long terme.

Processus de traitement All-on-6

Le traitement All-on-6 débute par une consultation approfondie et un diagnostic précis. Nos experts à Cannes réalisent un examen clinique complet, accompagné d’imageries 3D avancées pour évaluer la qualité et la quantité d’os disponible. Cette étape est cruciale pour planifier avec précision le positionnement optimal des implants.

La planification du traitement est ensuite élaborée en collaboration étroite entre nos équipes de Cannes et de Turquie. Grâce à des logiciels de pointe, nous simulons virtuellement l’intervention pour garantir un résultat optimal.

L’intervention chirurgicale se déroule dans nos cliniques ultramodernes en Turquie. Sous anesthésie locale ou sédation consciente, nos chirurgiens experts placent les six implants selon le plan préétabli. La précision de cette étape est essentielle pour assurer la stabilité et la longévité de la restauration.

S’ensuit une phase de cicatrisation, généralement de 3 à 6 mois, pendant laquelle les implants s’intègrent à l’os (ostéointégration). Durant cette période, une prothèse provisoire est mise en place pour assurer confort et esthétique.

Enfin, une fois la cicatrisation complète, la prothèse définitive est conçue et posée. Cette étape finale, réalisée avec soin, garantit un ajustement parfait et un résultat esthétique optimal.

Candidats idéaux pour l’All-on-6

L’All-on-6 est particulièrement adapté aux patients présentant une perte dentaire totale ou presque totale sur une arcade. Cette solution est également idéale pour ceux qui sont insatisfaits de leurs prothèses amovibles traditionnelles et recherchent une alternative fixe plus confortable et esthétique.

Cependant, une évaluation personnalisée est essentielle pour déterminer l’éligibilité à cette procédure. Nos experts prennent en compte divers facteurs tels que la qualité et la quantité osseuse, l’état de santé général du patient, et ses habitudes de vie. Certaines conditions médicales ou habitudes comme le tabagisme peuvent influencer le succès du traitement et nécessitent une attention particulière.

Coût et financement de l’All-on-6 à Cannes

Le coût d’un traitement All-on-6 à Cannes peut être considérable, souvent entre 15 000€ et 25 000€ par arcade. Ces tarifs élevés reflètent la complexité de la procédure et l’utilisation de matériaux de haute qualité. Cependant, chez Esteworld, nous proposons une alternative avantageuse grâce à notre approche hybride Cannes-Turquie.

En choisissant Esteworld, vous bénéficiez d’économies significatives, pouvant atteindre jusqu’à 70% par rapport aux prix pratiqués en France, tout en conservant une qualité de soins identique aux meilleurs standards européens. Nous proposons également des options de financement flexibles pour rendre ce traitement accessible à un plus grand nombre de patients.

L’expertise d’Esteworld en All-on-6

Chez Esteworld, notre équipe médicale est composée de chirurgiens-dentistes et d’implantologues de renommée mondiale, formés aux techniques les plus avancées en matière d’All-on-6. Nos praticiens cumulent des années d’expérience et maintiennent leurs compétences à jour grâce à une formation continue rigoureuse.

Nous utilisons les technologies les plus récentes, tant en matière d’imagerie que de planification chirurgicale assistée par ordinateur. Nos implants et matériaux prothétiques sont sélectionnés parmi les marques les plus réputées, garantissant durabilité et biocompatibilité.

Notre taux de réussite élevé et la satisfaction de nos patients témoignent de l’excellence de nos soins. Nous suivons rigoureusement chaque cas, assurant un suivi à long terme pour garantir la pérennité des résultats.

L’approche hybride Cannes-Turquie : le meilleur des deux mondes

Notre approche hybride unique combine le meilleur des deux mondes. Vous bénéficiez de consultations locales à Cannes, assurant proximité et suivi régulier, tout en profitant de l’expertise et des tarifs avantageux de nos cliniques en Turquie pour l’intervention chirurgicale.

Cette approche permet non seulement de réaliser des économies substantielles, mais aussi de bénéficier d’une prise en charge globale et personnalisée. Nous nous occupons de tous les aspects de votre séjour en Turquie, de l’organisation du voyage à l’hébergement, en passant par les transferts, pour que vous puissiez vous concentrer sereinement sur votre traitement.

L’All-on-6 à Cannes avec Esteworld représente une solution innovante et accessible pour retrouver un sourire éclatant et une qualité de vie optimale. Notre expertise, combinée à notre approche hybride unique, vous garantit des soins de haute qualité à des tarifs compétitifs, le tout dans un cadre rassurant et professionnel.

On discute de votre projet